Caso clínico Master: BIOPULPECTOMÍA 37 -Tipo IV o Istmo-
Feliz año a todos. Aquí estamos al pié del cañón comenzando el año con un caso clínico de los alumnos del Master. Esta vez es Rebeca Bartolomé la que nos envía este molar inferior con duda en cuanto a la configuración de sus conductos. Ahí va:
Paciente 37 años de edad. Sin antecedentes médicos de interés. Dolor continuo en el tercer cuadrante.
Percusión:
35: -
36: -
Vitalidad:
35:
+
36:
+
37:
+++
Palpación : - en todos ellos. Sondaje fisilógico en todos ellos
Diagnóstico: Pulpitis irreversible con
periodontitis apical aguda en 37
Tratamiento: Biopulpectomía 37
Intrumentación:
Lima
K 15; LT M: 23mm
LT D: 22,5 mm
Preflaring: SX ProTaper
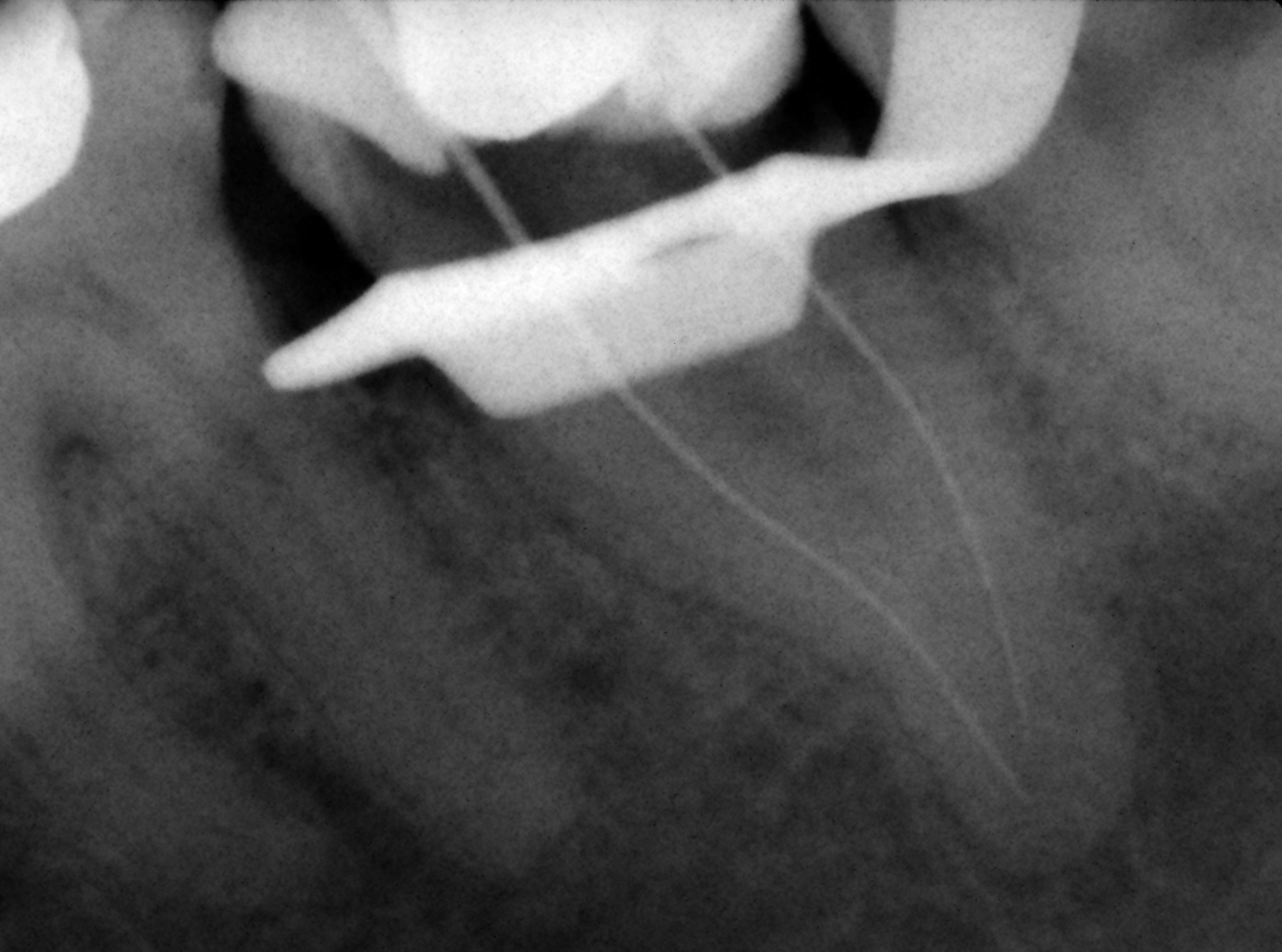
Reciproc 25.08 a LT en ambos conductos.
Durante la instrumentación comprobé que no
estábamos ante una clasificación tipo IV de Vertucci, al medir ambos conductos
la lima bajaba a su respectiva LT.
Irrigación final:
Hipoclorito 4,2% 30´´+ EDTA 17% 30´´+ Hipoclorito 4,2% 30´´
Activados ultrasónicamente mediante IRRISAFE 25
Obturación:
Autofit
6% + cemento TopSeal
Downpack: 50.05 Calamus
Backfill: Calamus 23G
En la obturación comprobé que se trataba de un
Istmo en la parte apical con salida lateral.


Comentarios
Feliz año en primer lugar!
Quería felicitar a Rebeca por el manejo del caso, y sobre todo como ha respetado la anatomía interna. Quería preguntarte si cuando ves una anatomía interna cómo la que te ha tocado tratar, tomas alguna precaución durante la instrumentación?
Gracias
Un abrazo
Roberto Estévez
Precioso caso. Mi pregunta va por el mismo hilo que la de Roberto: Cuando te enfrentas a dos conductos que confluyen en el tercio apical, ¿instrumentas los dos a LT o sólo uno a LT y el otro hasta la confluencia?
Muchas gracias