Caso Clínico Master: 17 extremo
-->
No nos afecta el calor y seguimos con la publicación de casos de alumnos de
1º de Master (ya casi casi de segundo). Aprovechamos para felicitar a los
alumnos de 2º que han finalizado el Master por sus excelentes tesinas.Volviando al tema que nos ocupa, es Carlota Manrique la que, en esta
ocasión, nos trae un 17 estupendamente documentado. Vamos a ello.
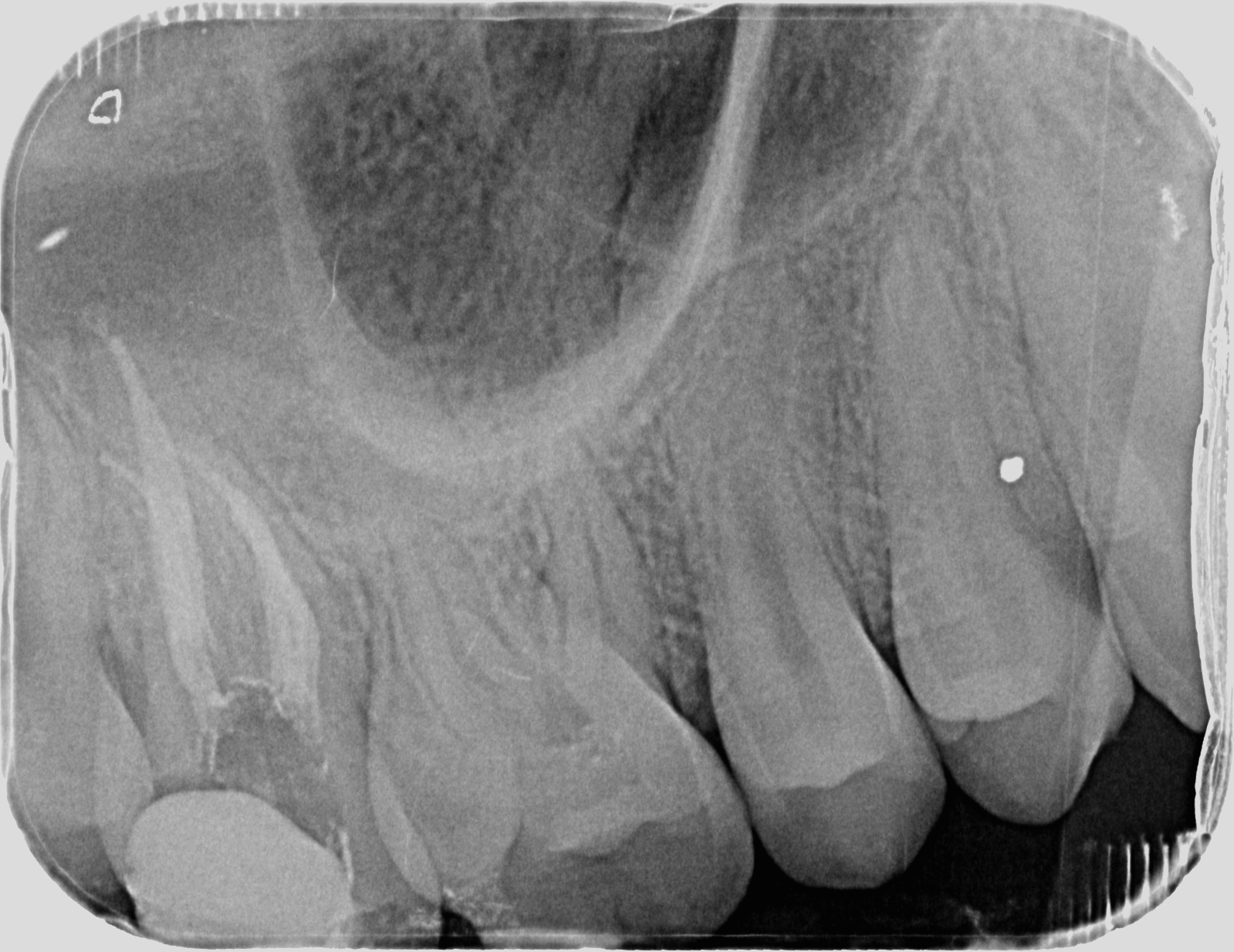
 Acude a la clínica del máster un chico de
17 años de edad, sin antecedentes médicos ni odontológicos de interés, remitido
de la policlínica de la universidad europea ya que limpiando una caries
profunda llegaron a la pulpa. Presentaba en ese momento vitalidad aumentada,
palpación y percusión negativas y sondaje fisiológico, por tanto se diagnosticó
de pulpitis irreversible, cuyo tratamiento es la biopulpectomía del 17.
Comenzamos el tratamiento anestesiando
con articaína 1:1000 y realizamos aislamiento absoluto con dique de goma y
clamp de molares (num 8A).  Retiramos el
cavit y rectificamos la apertura con fresa Endo Z, localizamos cuatro conductos
y realizamos  preflearing rotatotio con
lima S1 de PT, tomamos longitudes de trabajo establecidas a: Mv=21mm, Mp=22mm,
Dv=22mm y P=21mm. Irrigamos continuamente con NaOCl al 5,25% mediante jeringa
monojet. Instrumentación con sistema rotatorio Mtwo hasta 25.06 los conductos Mv,
Mp, Dv y 30.05 el P.  Calibramos
manualmente  Mp= #25; Mv, Dv= #30 y P=
#50.
Procedemos a la obturación de los
conductos, secando previamente con puntas de papel y realizamos conometría con
Autofit del 6%. Utilizando el sistema de obturación termoplástica BL + cemento
de resina Top Seal realizamos el downpack con la punta alfa 45.04  y backfill hasta rellenar todo el sistema de
conductos compactando con plugger manual.
Se realizó protocolo de irrigación final:
NaOCl 5,25% + 17% EDTA + NaOCl 5,25% activando 30 segundos con Endoactivator.
Colocamos bolita de algodón + cavit y
citamos con su odontólogo general para la reconstrucción de la pieza. 


Comentarios